At Cozumel Dental Services

We take the time to always listen, get to know and understand the needs and concerns of our patients, explaining treatments in understandable terms.

Book an appointment

OUR SERVICES

Dental cleanings

Dental cleanings… A professional dental cleaning at least twice a year can improve your oral health. During a dental cleaning, you’ll receive diagnostic and preventive services as well as any needed educational information

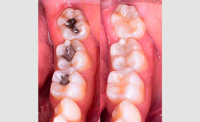
Fillings or restorations

Fillings or restorations..The composite filling will be precisely placed, shaped, and polished, restoring your tooth to its original shape and function.

Root canal treatments

Root canal treatment is an often straightforward procedure to relieve dental pain and save your teeth. Patients typically need a root canal when there is inflammation or infection in the roots of a tooth.

Dental implants

Dental implants are an effective long-term solution for people who suffer from missing teeth, failing teeth or chronic dental problems.

Periodontal treatments

The goal of periodontitis treatment is to thoroughly clean the pockets around teeth and prevent damage to surrounding bone.

Cosmetic treatments

Crowns are an ideal way to rebuild teeth which have been broken, or which have been weakened by decay or a very large filling. We offer zirconium crowns, full porcelain (jacket) crowns from e.max, and porcelain crowns fused to metal as well.

Dental bridge

A dental bridge is a row of dental crowns that is meant to replace two or more missing teeth that are next to each other.

Night guards

Nightguards are recommended for patients who clench or grind their teeth at night as a way to protect their teeth and bite.

Tooth extraction

Once a tooth has been removed, neighboring teeth may shift, causing problems with chewing or with your jaw joint function. To avoid these complications, we recommend that you replace the extracted tooth.

In- office teeth whitening

This procedure is performed in a dental office. The entire office visit generally takes about 90 minutes and you will be able to see results immediately.

Tray whitening

Professional whitening that uses custom-made trays and whitening gel.at-home professional tray whitening generally takes ten to 14 days, although you may notice results in as little as three to five days.

BOOK AN APPOINTMENT

Select your doctor:

Design by Amalfi Novelo | Developer

This website uses cookies, if you stay here you accept their use. You can read more about the use of cookies in our privacy policy